
GĐXH – Thấy đau tức vùng bụng bên trái, nữ bệnh nhân 68 tuổi đi khám thì bất ngờ được phát hiện có khối u thận khổng lồ, dù trước đó bà chưa từng phát hiện bệnh lý gì.
Theo thông tin từ Bệnh viện Ung Bướu Hà Nội, vừa qua, các bác sĩ nơi đây đã thực hiện thành công ca phẫu thuật loại bỏ khối u thận trái kích thước lớn kèm huyết khối xâm lấn tĩnh mạch chủ dưới cho một bệnh nhân nữ 68 tuổi.
Bệnh nhân nhập viện trong tình trạng đau tức vùng bụng bên trái, đôi khi tiểu máu và bụng chướng nhẹ. Trước đó, bệnh nhân khỏe mạnh, chưa từng phát hiện bệnh lý.

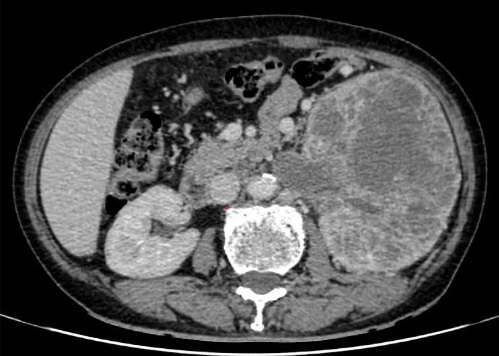
Hình ảnh chụp CT khối u ở thận xâm lấn tĩnh mạch chủ dưới. Ảnh:BVCC
Kết quả thăm khám và chẩn đoán hình ảnh cho thấy khối u ở thận trái kích thước khoảng 15 x 20 cm, phá hủy hoàn toàn cấu trúc nhu mô thận, xâm lấn đài – bể thận. Đáng chú ý, khối u đã gây huyết khối trong tĩnh mạch thận, lan tới tĩnh mạch chủ dưới, làm tăng nguy cơ tắc mạch hoặc thuyên tắc mạch phổi đe dọa tính mạng.
Bác sĩ cho biết, đây là ca phẫu thuật t tiết niệu – ung bướu có độ khó và nguy cơ cao do kích thước u lớn, chiếm trọn ổ thận, gây hẹp trường mổ, hạn chế thao tác bóc tách….
Ca mổ kéo dài nhiều giờ, ê-kíp đã tiến hành cắt thận trái kèm khối u toàn bộ, đồng thời mở tĩnh mạch chủ dưới lấy huyết khối, bảo tồn tối đa cấu trúc mạch máu và chức năng thận phải.
Hậu phẫu, bệnh nhân hồi phục tốt, chức năng thận phải ổn định, ăn uống – vận động nhẹ nhàng sau 1 tuần. Người bệnh được chỉ định điều trị bổ trợ bằng thuốc miễn dịch nhằm giảm nguy cơ tái phát và cải thiện tiên lượng sống còn.
Bác sĩ khuyến cáo, ung thư biểu mô tế bào thận (Renal Cell Carcinoma – RCC) có thể diễn tiến âm thầm, chỉ phát hiện khi khối u lớn hoặc có biến chứng. Các triệu chứng như đau hông lưng, đái máu, bụng to bất thường cần được thăm khám chuyên khoa sớm. Chẩn đoán và can thiệp kịp thời giúp tăng khả năng phẫu thuật triệt căn, giảm biến chứng và cải thiện chất lượng sống cho người bệnh.
Nguồn: https://giadinh.suckhoedoisong.vn/nguoi-phu-nu-dang-khoe-manh-bat-ngo-phat-hien-u-than-khong-lo-tu-dau-hieu-nhieu-nguoi-viet-mac-phai-172250815152935608.htm













