Đóng

Sức khoẻ

Người đàn ông 62 tuổi ho dai dẳng sau ăn lẩu, bác sĩ lập tức yêu cầu phẫu thuật

Sau bữa ăn lẩu, người đàn ông 62 tuổi ho kéo dài, bác sĩ lập tức yêu cầu phẫu thuật, vì sao?

Ông Long, 62 tuổi, người Nam Ninh, Trung Quốc thích lẩu và thường xuyên ăn món này. Năm 2020, sau một lần ăn lẩu, ông cảm thấy khó chịu. Những ngày sau đó ông ho nhiều hơn, thi thoảng có đờm và luôn cảm giác gì đó trong cổ họng.

Hơn 2 tháng, cơn ho vẫn dai dẳng. Sinh hoạt và giấc ngủ của ông Long bị ảnh hưởng nghiêm trọng.

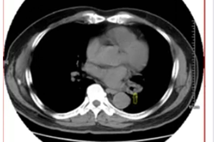
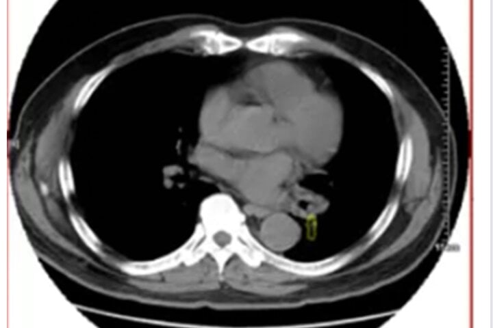
Ảnh chụp phổi của ông Long. (Ảnh: Sohu)

Ảnh chụp phổi của ông Long. (Ảnh: Sohu)

Ông Long tới bệnh viện Nhân dân Nam Ninh để khám bệnh. Bác sĩ nội soi phế quản cho ông và phát hiện khối u ở khe hở đáy phổi bên trái. Nó chặn lỗ mở của đoạn đáy phổi khiến ống nội soi không đi tiếp được. Hơn nữa, ông Long ho dữ dội nên họ đành dừng nội soi.

Các bác sĩ bàn bạc với gia đình ông Long và quyết định thực hiện phẫu thuật can thiệp dưới hình thức gây mê toàn thân. Sau phẫu thuật, khối u màu nâu sẫm được cắt bỏ thành công. Hóa ra, khối u này đều là những dị vật như xương và một số nguyên liệu nấu lẩu.

Nguyên nhân khiến ông Long bị khối u lạ là do ăn lẩu quá nhanh nên bị sặc. Ở người lớn, do đường kính phế quản lớn nên hít phải dị vật nhỏ sẽ gây ra những cơn ho khó chịu dù không gây ra các triệu chứng như khó thở, tức ngực.

Các dị vật tồn tại trong khí quản càng lâu sẽ gây ra các hạt viêm, khối u dẫn đến tắc nghẽn khí quản gây biến chứng thành nhiễm trùng thứ phát, giãn phế quản.

Dị vật trong khối u toàn là xương và nguyên liệu nấu lẩu. (Ảnh: Sohu)

Dị vật trong khối u toàn là xương và nguyên liệu nấu lẩu. (Ảnh: Sohu)

Ông Long sau khi được phẫu thuật đã giảm các cơn ho khó chịu đáng kể và nhanh chóng khỏi bệnh. Các bác sĩ của bệnh viện qua trường hợp của ông Long khuyên người bệnh nếu vô tình nuốt phải dị vật cần nhanh chóng đến bệnh viện khám, tránh trì hoãn sẽ gây nguy hiểm.

Nguồn: https://vtcnews.vn/nguoi-dan-ong-62-tuoi-ho-dai-dang-sau-an-lau-bac-si-lap-tuc-yeu-cau-phau-thuat-ar856597.html