
GĐXH – Xuất hiện cơn đau nhói tại một điểm vùng ngực trái, người phụ nữ đi khám phát hiện ung thư phổi.
Đau nhói ở ngực, đi khám phát hiện ung thu phổi
Khoảng 1 tháng nay, bà P.T.H (53 tuổi, Hà Nội) thường xuyên xuất hiện cơn đau nhói tại một điểm vùng ngực trái. Trước tình trạng bất thường, bà đã chủ động đến thăm khám tại BVĐK Medlatec.
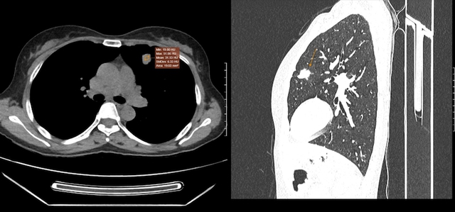
Qua thăm và thực hiện các xét nghiệm, kết quả đều chưa ghi nhận dấu hiệu đáng lo ngại. Tuy nhiên, kết quả chụp cắt lớp vi tính (CT) lồng ngực có tiêm thuốc cản quang cho thấy thùy trên phổi trái xuất hiện nốt đặc kích thước 21x14mm, bờ tua gai đồng thời phát hiện hình ảnh nốt giảm tỷ trọng tại tuyến thượng thận trái.

Ảnh minh họa
Để xác định bản chất tổn thương, bệnh nhân được chỉ định sinh thiết xuyên thành ngực dưới hướng dẫn của chụp CT. Sau đó mẫu bệnh phẩm được gửi đến Trung tâm Giải phẫu bệnh, kết quả cho thấy, bệnh nhân bị ung thư biểu mô tuyến.
Bệnh nhân tiếp tục được làm xét nghiệm nhuộm hóa mô miễn dịch PD-L1 và giải trình tự các gen thường gặp trong ung thư phổi. Kết quả cho thấy PD-L1 dương tính – yếu tố quan trọng giúp dự đoán khả năng đáp ứng với các phương pháp điều trị miễn dịch. Đồng thời, bệnh nhân mang đột biến gen EGFR – một dạng đột biến thường gặp ở bệnh nhân ung thư phổi không tế bào nhỏ, có giá trị trong lựa chọn phác đồ điều trị đích và tiên lượng đáp ứng thuốc.
Sau khi có kết quả, bà H. được khuyến nghị chuyển bệnh viện Chuyên khoa Ung bướu để được tiếp tục thăm khám, theo dõi và điều trị chuyên sâu.
Ung thư phổi không chỉ ở người hút thuốc – nữ giới cũng cần đặc biệt lưu ý
Nhiều người thường nghĩ ung thư phổi chỉ gặp phải ở nam giới hút thuốc lá, nhưng thực tế trong những thập niên gần đây, tỷ lệ mắc bệnh ở nữ giới có xu hướng tăng rõ rệt. Đáng chú ý, nhiều trường hợp nữ bệnh nhân chưa từng hút thuốc nhưng vẫn được chẩn đoán mắc bệnh, cho thấy đây là vấn đề sức khỏe cộng đồng không thể xem nhẹ.

Ảnh minh họa.
Bác sĩ Nguyễn Văn Tuấn – Trung tâm Giải phẫu bệnh của bệnh viện chỉ ra một số yếu tố nguy cơ gây ung thư phổi gồm:
Hút thuốc và hút thuốc lá thụ động: Đây là nguyên nhân hàng đầu gây ra ung thư phổi, đặc biệt phụ nữ tiếp xúc thụ động với khói thuốc cũng tiềm ẩn nhiều nguy cơ mắc bệnh.
Ô nhiễm môi trường: Môi trường ô nhiễm chứa các chất độc hại như amiăng, radon, hoặc khí thải từ phương tiện giao thông và nhà máy công nghiệp cũng là yếu tố nguy cơ cao gây bệnh.
Tiền sử gia đình: Nguy cơ mắc bệnh sẽ cao hơn nếu có người thân từng mắc ung thư phổi.
Đặc điểm sinh học/di truyền: Nhiều nghiên cứu cho thấy phụ nữ mắc ung thư phổi có xu hướng mang các đột biến gen điều khiển như EGFR, ALK… với tỷ lệ cao hơn so với nam giới. Đây là đặc điểm quan trọng lý giải tại sao nhóm bệnh nhân nữ thường đáp ứng tốt hơn với một số thuốc điều trị nhắm trúng đích.
Dấu hiệu và cách phòng ngừa ung thư phổi
Ung thư phổi thường diễn tiến âm thầm, khi xuất hiện triệu chứng bệnh thường đã ở giai đoạn muộn. Các biểu hiện cảnh báo bao gồm đau tức ngực, ho kéo dài, ho ra máu, khó thở, sụt cân không rõ nguyên nhân, mệt mỏi thường xuyên…
Ở nữ giới, do không nằm trong nguy cơ điển hình, bệnh lại càng dễ bị bỏ sót hoặc chẩn đoán chậm trễ.
Bác sĩ khuyến cáo, dù khó phát hiện sớm, ung thư phổi hoàn toàn có thể phòng tránh và kiểm soát nếu: Chủ động tránh xa khói thuốc và môi trường ô nhiễm. Duy trì lối sống lành mạnh, tập thể dục đều đặn, ăn uống khoa học. Thực hiện khám sức khỏe định kỳ và tầm soát ung thư phổi bằng chụp CT liều thấp đối với nhóm nguy cơ cao.
Nguồn: https://giadinh.suckhoedoisong.vn/khong-hut-thuoc-nguoi-phu-nu-53-tuoi-bat-ngo-phat-hien-ung-thu-phoi-tu-dau-hieu-nhieu-nguoi-viet-mac-phai-172250927184847488.htm













