
Nghiến răng được xem là một thói quen xấu, thường không gây hại. Tuy nhiên trong một số trường hợp có thể có thể gây ảnh hưởng đến sức khỏe răng miệng.
Tật nghiến răng có thể được phân loại theo một số tiêu chí sau:
Nghiến răng lúc ngủ: Xuất hiện ở cả người lớn và trẻ em. Thường là hoạt động nghiến qua lại.
Nghiến răng khi thức: Thường gặp ở người lớn, có liên quan với stress. Hoạt động chủ yếu là cắn chặt răng.
Nguyên nhân gây nghiến răng

Nghiến răng được xem là một thói quen xấu.
Nguyên nhân của nghiến răng không phải lúc nào cũng rõ ràng. Một số nguyên nhân thường được đề cập nhiều như sau:
Do stress, căng thẳng
Stress là nguyên nhân chính của tật nghiến răng lúc ngủ. Stress có thể gây rối loạn giấc ngủ và phản xạ co cơ nhai kéo răng hai hàm nghiến răng vào nhau vô ý thức và ngắt quãng.
Một số tác giả cho là nghiến răng là sự đáp ứng với stress đã diễn ra vào ban ngày, liên quan với những người làm việc căng thẳng, lo lắng, kìm nén, sợ hãi, sinh viên trong mùa thi…
Tuy nhiên một vài tác giả khác lại xem nghiến răng khi ngủ là chỉ một phản xạ vô ý thức của hệ thần kinh trung ương gây co cơ nhai, không liên quan gì với stress.
Cắn chặt răng cũng có thể xảy ra vào ban ngày trong khi tập trung làm việc, suy nghĩ, làm việc gắng sức như khiêng vác nặng hoặc giận dữ. Dần dần việc cắn chặt răng hoặc xiết chặt răng có liên quan đến cảm xúc này trở thành thói quen xấu.
Do yếu tố di truyền
Những người có thành viên trong gia đình đang hoặc từng mắc bệnh nghiến răng khi ngủ có nguy cơ cũng bị bệnh này.
Nghiên cứu cho thấy, có thể có một mức độ liên quan đến di truyền trong việc phát triển tật nghiến răng. Khoảng 21% – 50% những người bị nghiến răng ban đêm có thành viên trong gia đình từng mắc phải tình trạng này trước đây. Điều này cho thấy yếu tố di truyền có liên quan đến tình trạng nghiến răng khi ngủ.
Các loại thuốc và chất kích thích
Một số loại thuốc điều trị tâm thần như thuốc chống trầm cảm cũng có thể gây tác dụng phụ dẫn tới chứng nghiến răng khi ngủ.
Ngoài ra, thuốc lá và các loại đồ uống chứa caffein, rượu hay các chất kích thích khác có thể làm tăng nguy cơ mắc phải hội chứng.
Một số loại thuốc điều trị thần kinh cũng có thể gây nghiến răng khi ngủ.
Yếu tố toàn thân
Một số nghiên cứu cho thấy có mối liên quan trực tiếp giữa tắc nghẽn đường thở khi ngủ và nghiến răng lúc ngủ. Rối loạn giấc ngủ, khó thở khi ngủ, mất cân bằng hoạt chất trong não như thấp lượng serotonin trong não gây kích hoạt nghiến răng khi ngủ.
Trầm cảm, xúc động và mệt mỏi thể chất cũng làm gia tăng hay khởi phát lại tật nghiến răng hay cắn chặt răng. Bệnh nhân bị Parkinson hoặc Huntington có thể nghiến răng ban ngày hay đêm.
Nhiễm giun sán, ký sinh trùng đường ruột là nguyên nhân gây nghiến răng ở trẻ em.
Ngoài ra nhiều yếu tố khác được nhắc đến như rối loạn dinh dưỡng, tiết niệu, nội tiết, thiếu vitamin, mất cân bằng enzyme…
Yếu tố nghề nghiệp có đòi hỏi đặc biệt có thể gây nên nghiến răng hay cắn chặt răng. Ví dụ: Nghệ sĩ piano cắn chặt răng lúc giữ đàn khi chơi; công nhân khuân vác cắn chặt răng để gồng sức; nghệ sĩ biểu diễn xiếc dùng răng để giữ người trên không trung…
Một số nghiên cứu cho rằng các thói quen này thuộc về bản năng, là hoạt động tập tính của loài có vú. Mục đích của nó là để duy trì sự sắc bén của hàm răng.

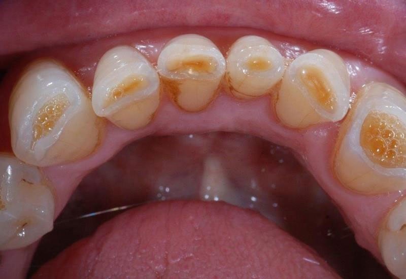
Nghiến răng mức độ nặng có thể gây ra những tình trạng phá hủy răng, xương hàm, đau nhức đầu…
Lời khuyên thầy thuốcNghiến răng mức độ nặng có thể gây ra những tình trạng phá hủy răng, xương hàm, đau nhức đầu, đau vùng đầu mặt, rối loạn khớp thái dương hàm (nghe tiếng click khi há đóng miệng ở vùng trước tai).
Điệc điều trị nghiến răng phụ thuộc vào yếu tố gây bệnh. Việc co thắt thường xuyên của các cơ nâng hàm có thể gây lực quá tải cho răng, cấu trúc nâng đỡ răng, và khớp thái dương hàm.
Tuy nhiên nếu các lực tuy thường xuyên nhưng được phân bố đồng đều trong quá trình tiếp xúc răng – răng có thể ít gây hư hại cho các thành phần của bộ máy nhai.
Khi thường xuyên gặp phải tình trạng nghiến răng không kiểm soát, răng sẽ bị ảnh hưởng rất lớn nên cần phải thăm khám để tìm nguyên nhân và cách điều trị thích hợp.
Nguồn: https://giadinh.suckhoedoisong.vn/bat-ngo-voi-cac-nguyen-nhan-gay-nghien-rang-khi-ngu-172240619223412121.htm













