Đóng

Sức khoẻ

Cô gái 25 tuổi phát hiện mắc ung thư hạch từ dấu hiệu tưởng vô hại, nhiều người Việt bỏ qua

GĐXH – Cô gái được phát hiện mắc ung thư hạch sau khi sờ thấy khối bất thường ở vùng cổ. Đây là những dấu hiệu nhỏ nhưng tiềm ẩn nguy cơ bệnh lý ác tính.

Phát hiện ung thư hạch từ vùng cổ, tưởng vô hại

Mới đây, Phòng khám Đa khoa Medlatec Tây Hồ tiếp nhận bệnh nhân N.A.N (25 tuổi) đến khám do sờ thấy khối vùng thượng đòn trái kèm đau thượng vị kéo dài.

Theo chia sẻ, khoảng một tháng trước khi nhập viện, bệnh nhân xuất hiện đau bụng vùng thượng vị, ợ hơi, cơ thể mệt mỏi. Đáng chú ý, người bệnh tự phát hiện khối ở vùng cổ nhưng không đau nên ban đầu khá chủ quan.

Qua thăm khám, bác sĩ ghi nhận khối ở hố thượng đòn trái kích thước khoảng 3×2 cm, mật độ chắc, di động kém. Các xét nghiệm chuyên sâu sau đó cho thấy nhiều hạch bất thường ở vùng cổ, trung thất và phổi.

Kết quả sinh thiết xác định bệnh nhân mắc u lympho Hodgkin – một dạng ung thư hạch ác tính. Bệnh nhân đã được tư vấn chuyển đến cơ sở chuyên khoa để điều trị.

Cô gái 25 tuổi phát hiện mắc ung thư hạch từ dấu hiệu tưởng vô hại, nhiều người Việt bỏ qua - Ảnh 1.

Ảnh minh họa.

Ung thư hạch có nguy hiểm không?

Theo các chuyên gia, u lympho Hodgkin là một trong hai nhóm ung thư của hệ bạch huyết, chiếm khoảng 20–30% các trường hợp ung thư hạch.

Dữ liệu từ Tổ chức Y tế Thế giới cho thấy, năm 2022 có hơn 82.000 ca mắc mới trên toàn cầu, với tỷ lệ tử vong khoảng 27,5%.

Bệnh có thể gặp ở nhiều lứa tuổi, nhưng phổ biến nhất ở người trẻ khoảng 20 tuổi và người lớn tuổi khoảng 60 tuổi.

Hiện nay, nguyên nhân chính xác gây bệnh chưa được xác định rõ, tuy nhiên một số yếu tố nguy cơ có thể liên quan như nhiễm virus Epstein-Barr, suy giảm miễn dịch, bệnh tự miễn hoặc tiền sử gia đình mắc ung thư hạch.

Dấu hiệu cảnh báo ung thư hạch dễ bị bỏ qua

U lympho Hodgkin thường có biểu hiện không điển hình, dễ nhầm lẫn với các bệnh thông thường.

Triệu chứng phổ biến nhất là nổi hạch bất thường, thường gặp ở cổ, nách hoặc bẹn. Hạch thường không đau, mật độ chắc nên nhiều người dễ chủ quan.

Ngoài ra, người bệnh có thể xuất hiện các dấu hiệu như ho kéo dài, khó thở, đau ngực, mệt mỏi, sụt cân không rõ nguyên nhân, sốt kéo dài hoặc đổ mồ hôi ban đêm.

Một số trường hợp còn có biểu hiện hiếm gặp như ngứa da, đau sau khi uống rượu hoặc các hội chứng cận u khác.

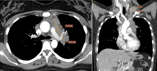
Cô gái 25 tuổi phát hiện mắc ung thư hạch từ dấu hiệu tưởng vô hại, nhiều người Việt bỏ qua - Ảnh 2.

Hình ảnh cho thấy nhiều hạch bất thường trung thất và nền cổ 2 bên. Ảnh: BVCC

Biến chứng nguy hiểm của ung thư hạch nếu không phát hiện sớm

Bệnh có xu hướng lan từ một nhóm hạch sang các vùng lân cận, sau đó có thể xâm lấn đến các cơ quan khác như lách, tủy xương hoặc phổi.

Khi tiến triển nặng, khối u có thể gây chèn ép tĩnh mạch chủ trên, khiến bệnh nhân phù mặt, cổ, tay; hoặc gây suy hô hấp do chèn ép đường thở.

Ngoài ra, người bệnh có thể đối mặt với tình trạng suy kiệt, thiếu máu, giảm tiểu cầu và tăng nguy cơ nhiễm trùng nghiêm trọng.

Các bác sĩ khuyến cáo, khi phát hiện hạch vùng cổ, nách hoặc bẹn có kích thước lớn, tồn tại kéo dài, không đau hoặc kèm theo các triệu chứng toàn thân, người dân nên đi khám sớm để được chẩn đoán chính xác.

Việc phát hiện sớm u lympho Hodgkin có ý nghĩa quan trọng trong điều trị, giúp tăng cơ hội kiểm soát bệnh và cải thiện tiên lượng lâu dài.

Nguồn: https://giadinh.suckhoedoisong.vn/co-gai-25-tuoi-phat-hien-mac-ung-thu-hach-tu-dau-hieu-tuong-vo-hai-nhieu-nguoi-viet-bo-qua-172260406094740322.htm